
Sono le più resistenti e naturali. La ceramica riflette la luce come lo smalto vero e non si macchia nel tempo con caffè o fumo.

Realizzate con lo stesso materiale delle otturazioni estetiche. Sono più economiche e veloci da applicare, ma tendono a usurarsi più facilmente della ceramica.

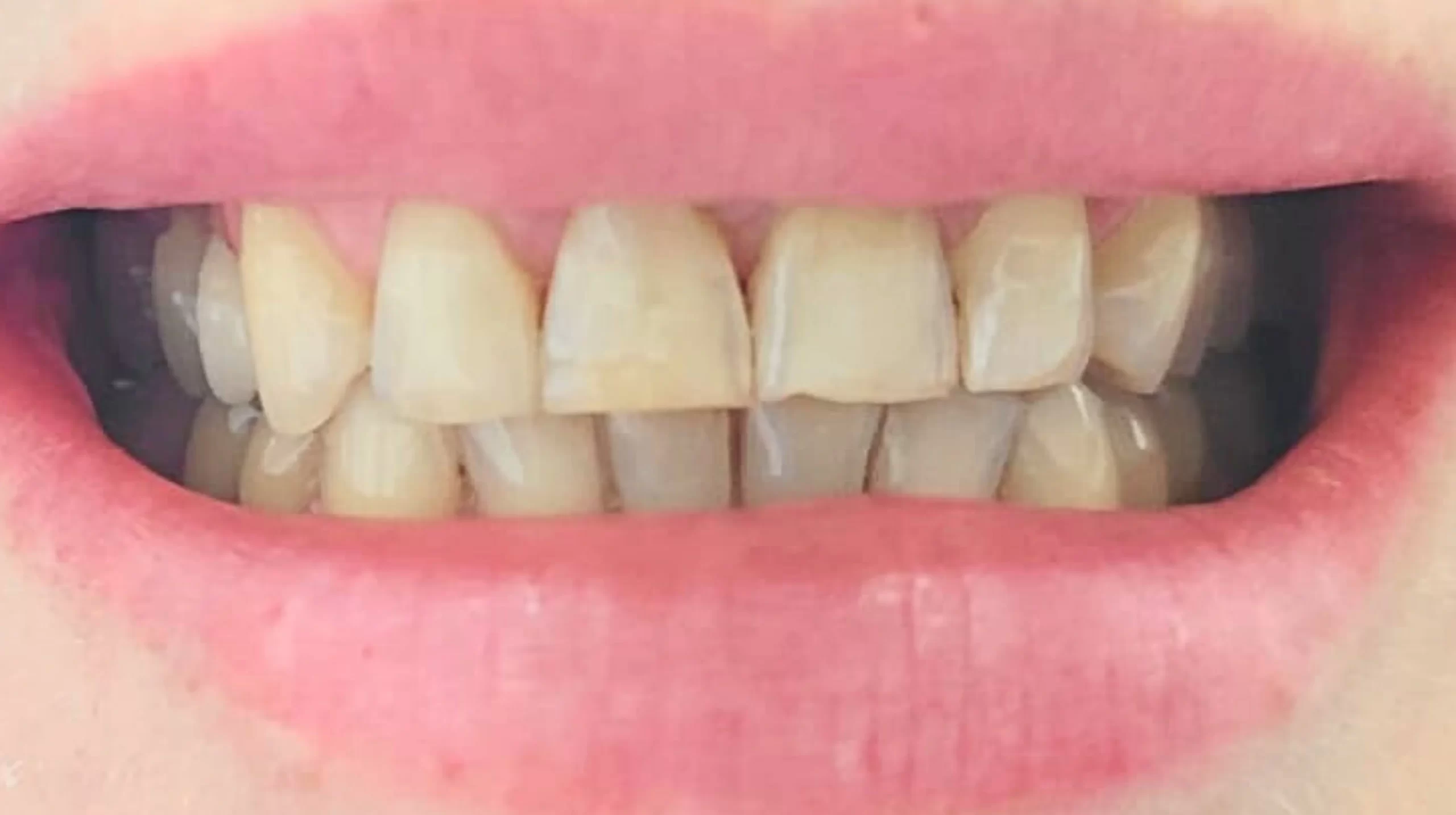
Sono lamine ultra-sottili che non richiedono la limatura del dente naturale. Si incollano direttamente sopra lo smalto, preservando l'integrità del dente originale.
Pubblicato su Google Elena AlfeTrustindex verifica che la fonte originale della recensione sia Google. Professionalita,gentlezza, igiene nn cambierei mai il mio dottorePubblicato su Google Maria Rosaria MaistoTrustindex verifica che la fonte originale della recensione sia Google. Mi sono rivolta al Dott. Schiavone dopo diverse esperienze non troppo positive, e devo dire che finalmente ho trovato un dentista davvero competente e attento. Lo studio è moderno, pulitissimo e dotato di attrezzature all’avanguardia. Durante le cure ho sentito pochissimo fastidio, segno di grande delicatezza e precisione. Inoltre, il Dott. Schiavone e il suo staff sono sempre gentili, puntuali e disponibili. Consiglio assolutamente questo studio a chi cerca un dentista serio, preparato e umano. Un vero professionista!Pubblicato su Google Angy_ carterTrustindex verifica che la fonte originale della recensione sia Google. Condivido un bravissimo dentistaPubblicato su Google Francesco panicoTrustindex verifica che la fonte originale della recensione sia Google. Ottimo studio dentistico Consiglio vivamentePubblicato su Google Massimo CanzanellaTrustindex verifica che la fonte originale della recensione sia Google. Conosco il Dr. Schiavone una domenica a pranzo nel ristorante di mio figlio, voglio precisare che per avventure avute nella mia infanzia con dentisti privati e pubblici da non augurare mai a nessuno, esposi il mio problema odontoiatrico. Giuseppe e la moglie mi trasmisero fiducia e tranquillità. Consiglio a tutti coloro che hanno avuto brutte esperienze di affidarsi allo studio Schiavone e alla sua equipe.Pubblicato su Google Patrizia BuffiTrustindex verifica che la fonte originale della recensione sia Google. Ho trovato in questo studio dentistico professionalità, empatia, educazione ,serenità, e tanti sorrisi. Lo consiglio vivamente a grandi e piccini ! Sempre disponibili in ogni momento anche telefonicamente per qualche consiglio .Pubblicato su Google Antonio GalloTrustindex verifica che la fonte originale della recensione sia Google. Bellissima esperienza , il dott. Schiavone è un eccellente professionista, lavoro impecable in uno studio moderno e bene attrezzato, consigliatissimo.Pubblicato su Google magda verdeTrustindex verifica che la fonte originale della recensione sia Google. Professionalità e umanitàPubblicato su Google Giovanni MartinoTrustindex verifica che la fonte originale della recensione sia Google. Professionalità assicurata lo consiglioVerificato da TrustindexIl badge verificato di Trustindex è il Simbolo Universale di Fiducia. Solo le migliori aziende possono ottenere il badge verificato con un punteggio di recensione superiore a 4.5, basato sulle recensioni dei clienti degli ultimi 12 mesi. Per saperne di più