Ritrova il Piacere di Sorridere e Mangiare Bene

implantologia sorriso

Ti aiutiamo a ripristinare funzionalità e armonia nel tuo sorriso con soluzioni protesiche e implantologiche per migliorare masticazione, stabilità delle bocca ed estetica.

implantologia sorriso

Quando mancano i denti,
l'equilibrio di tutta la bocca è compromesso.

Ripristinare i denti mancanti significa restituire alla bocca la sua funzionalità naturale, prevenire complicazioni future e permetterti di mangiare, parlare e sorridere senza limitazioni. Non è vanità: è salute. Il nostro approccio considera sempre il quadro completo: stato dell'osso, condizione dei denti residui, esigenze funzionali ed estetiche. Poi ti proponiamo la soluzione più adatta: impianto singolo, ponte su impianti, protesi parziale o totale.

Casi e Soluzioni

Le problematiche più comuni che risolvi con il nostro aiuto

Perdita di uno o più denti (Edentulia parziale)

La perdita di un dente altera masticazione e allineamento. Valutiamo salute ossea e abitudini per offrirti l'impianto o l'alternativa più stabile e duratura.

Mancanza totale di tutti i denti ed osso di sostegno

Progettiamo soluzioni su misura per arcate incomplete, utilizzando protesi o impianti per restituirti una masticazione sicura e un comfort quotidiano totale.

Dente danneggiato o devitalizzato

Un dente compromesso può spesso essere salvato e rinforzato con corone fisse, preservando la base naturale e garantendo una masticazione solida e duratura.

Quale impianto è più adatto per te

Soluzioni su misura per ogni esigenza. Analizziamo la tua situazione clinica e ti proponiamo il trattamento implantologico più indicato, spiegandoti vantaggi, tempistiche e risultati attesi.

All-on-4® (da Nobel Biocare):La tua nuova arcata fissa

Una tecnica d'avanguardia per ripristinare un'intera arcata con soli di 4-6 impianti dentali. Ideale per chi cerca stabilità definitiva e risultati rapidi, spesso con denti fissi già in 24 ore.

Impianti a vite di tipo endosseo per il ripristino dei denti naturali

Sono la soluzione standard più diffusa, in cui piccole viti in titanio vengono inserite direttamente nell'osso per fungere da radici artificiali estremamente stabili e durature.

Impianti a griglia con moncone fisso non sommerso

Struttura in titanio appoggiata sull'osso anziché inserita al suo interno, ideale per ancorare protesi fisse in casi di grave carenza ossea dove gli impianti a vite non sono utilizzabili.

Prima e Dopo

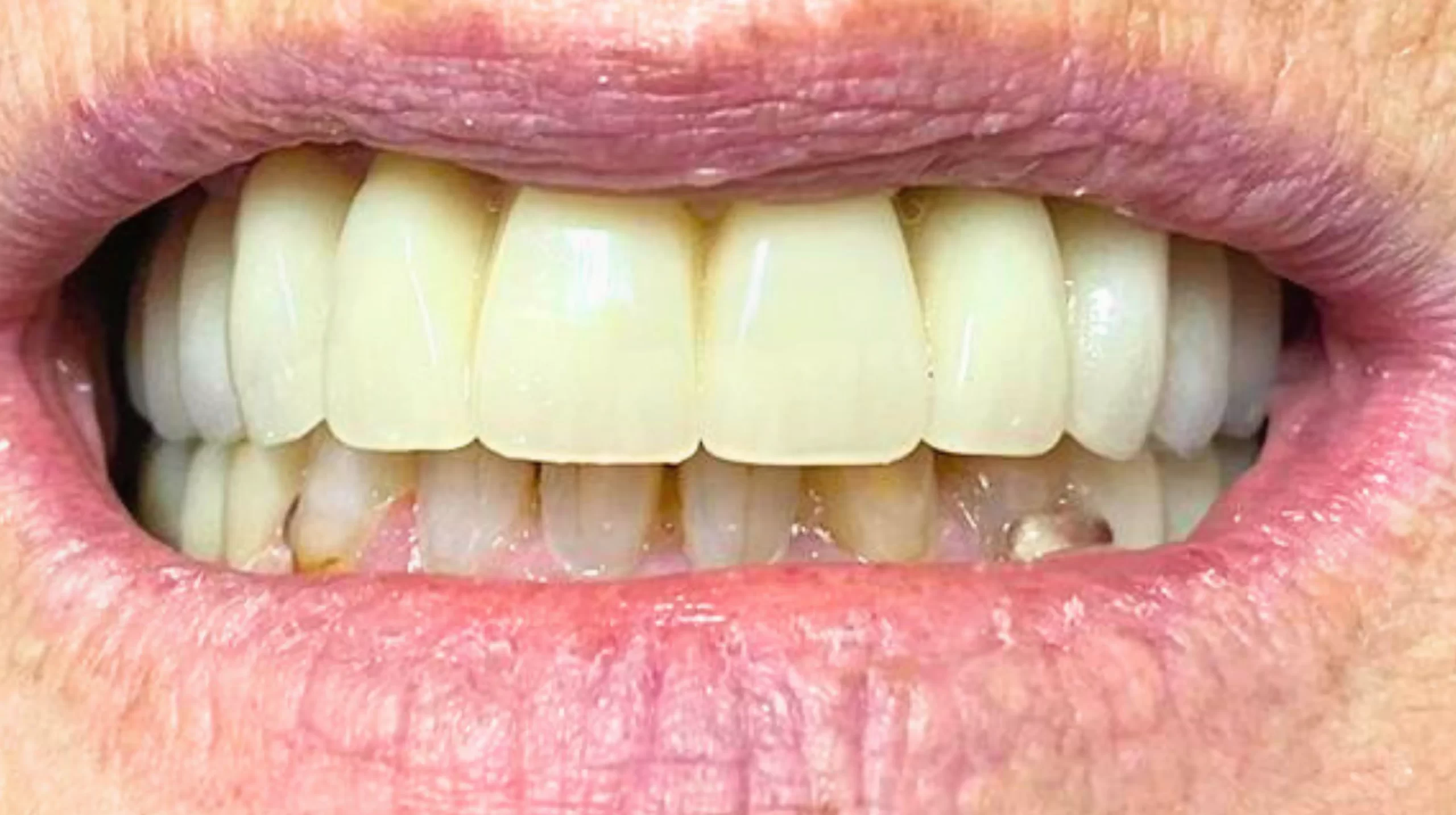
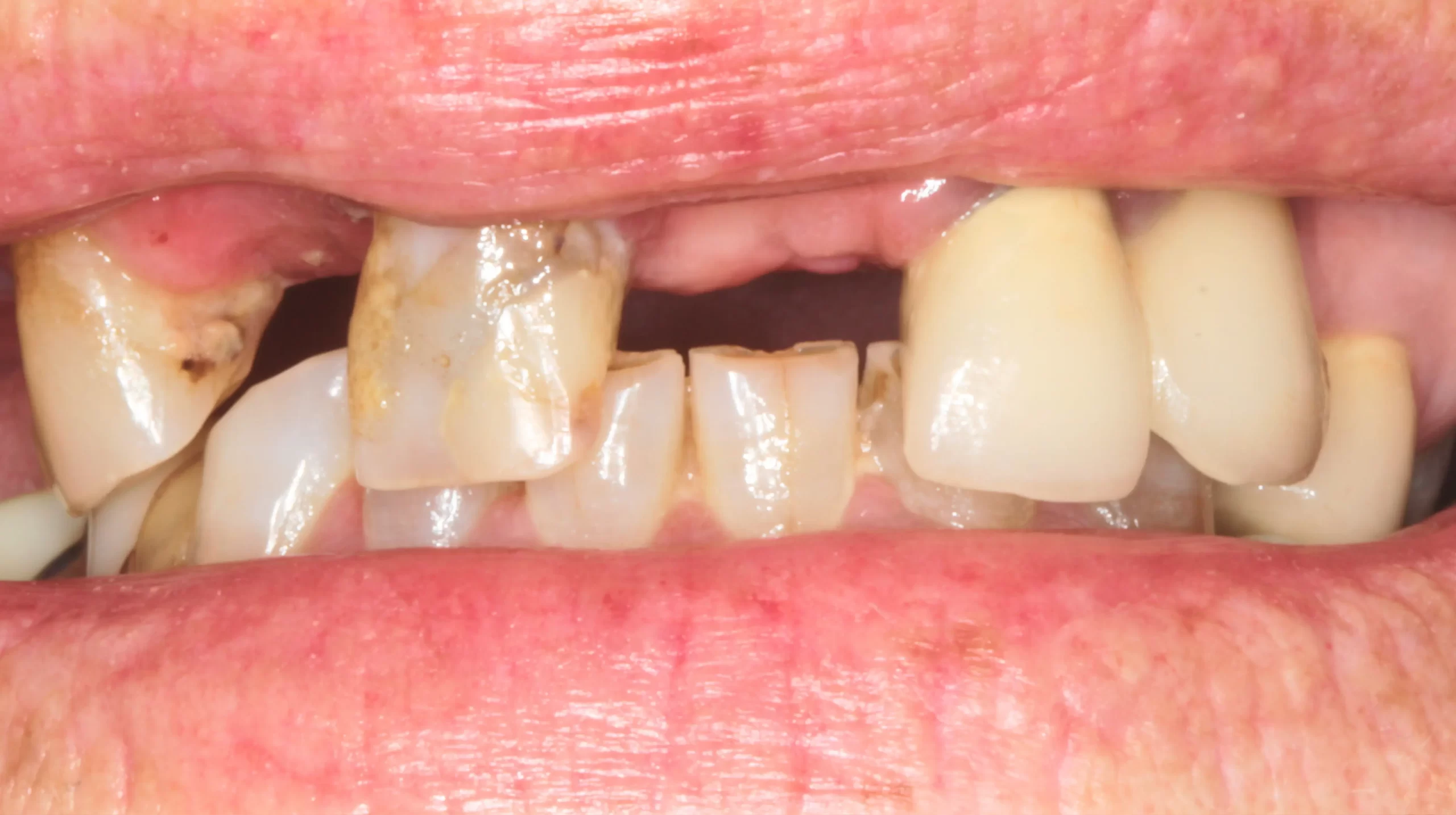
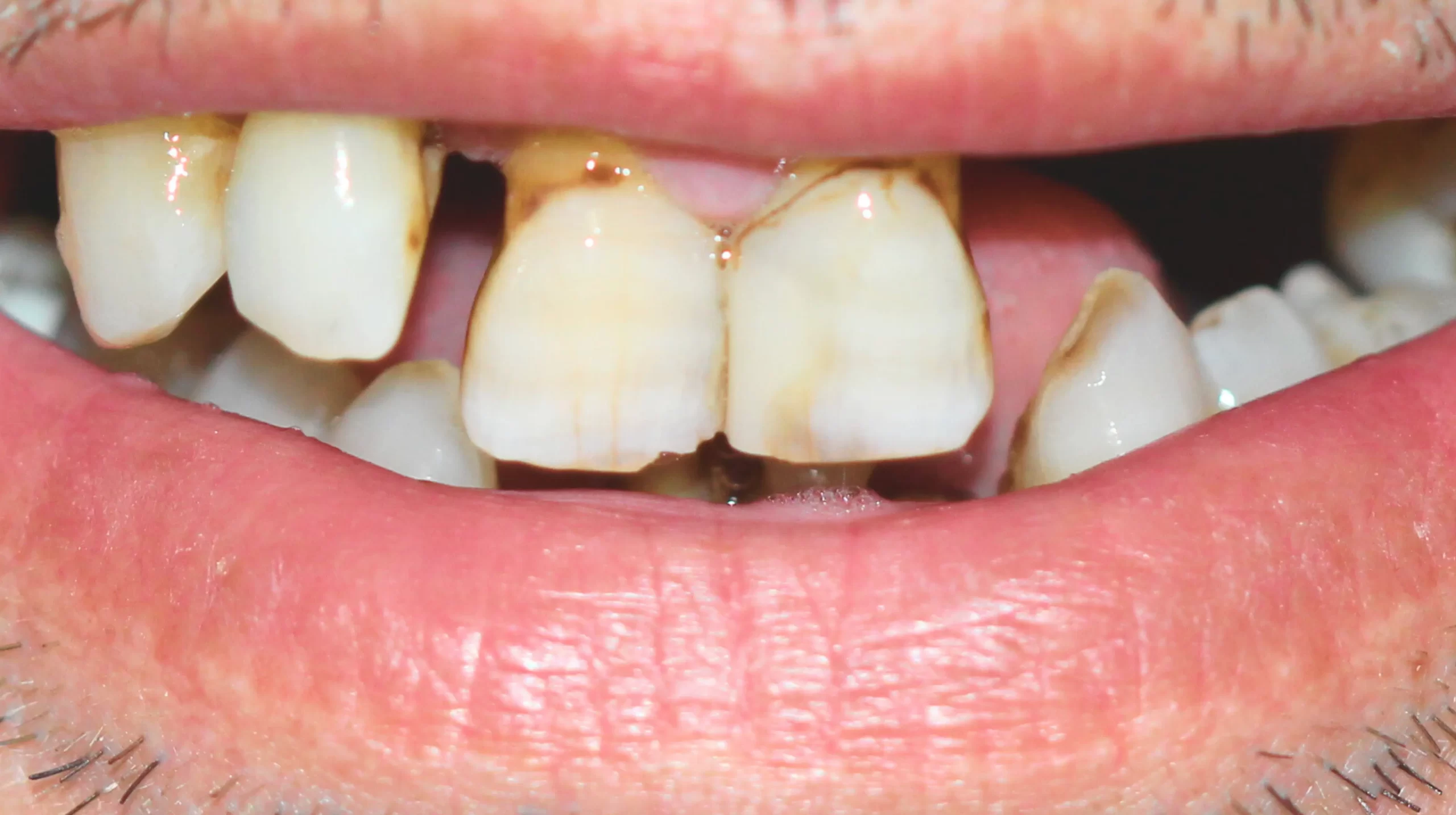
Protesifissa1_prima Protesifissa1_dopo
Protesifissa2_prima Protesifissa2_dopo
All arch1_prima All arch1_dopo
All arch2_prima All arch2_dopo

Dicono di Me

FAQ

Domande e Risposte

Ecco le domande più comuni che i pazienti ci fanno prima di affrontare un trattamento implantologico. Se hai altri dubbi, contattaci e risponderemo con chiarezza.

Quanto dura un impianto dentale?

Un impianto dentale, se correttamente mantenuto con igiene orale accurata e controlli periodici, può durare molti anni, anche decenni. La durata dipende da diversi fattori: qualità dell'osso, igiene domiciliare, abitudine al fumo, presenza di patologie sistemiche come il diabete. Durante le visite di controllo monitoriamo lo stato dell'impianto e interveniamo tempestivamente se necessario per preservarne la stabilità nel tempo.

L'intervento viene eseguito in anestesia locale, quindi durante la procedura non senti dolore. Nei giorni successivi è normale avvertire un po' di fastidio o gonfiore, facilmente gestibili con antidolorifici comuni e seguendo le indicazioni post-operatorie. La maggior parte dei pazienti ci riferisce che il disagio post-intervento è inferiore a quanto temessero. Ti forniamo tutte le istruzioni per gestire al meglio la fase di guarigione.

Dipende dal tipo di impianto e dalla tua situazione clinica. In media, dopo l'inserimento dell'impianto serve un periodo di osteointegrazione di 3-6 mesi prima di applicare la corona definitiva. In alcuni casi possiamo utilizzare tecniche a carico immediato, permettendoti di avere denti provvisori fissi già il giorno stesso dell'intervento. Valutiamo insieme il percorso più adatto e ti forniamo una tempistica realistica sin dall'inizio.

Dipende da quanto osso è disponibile e dalla sua qualità. Grazie alla TC Cone Beam 3D valutiamo con precisione la quantità di osso residuo. Se l'osso non è sufficiente, possiamo ricorrere a tecniche di rigenerazione ossea o a soluzioni implantologiche specifiche come l'All-on-4 che sfruttano al massimo l'osso presente senza richiedere innesti estesi. Ti spieghiamo sempre quali opzioni sono realisticamente praticabili nel tuo caso.

Gli impianti possono essere inseriti una volta completata la crescita ossea, indicativamente dai 18 anni in poi. Non esistono limiti di età superiore: anche pazienti anziani possono beneficiare dell'implantologia se le condizioni generali di salute lo permettono. Valutiamo la tua storia clinica, eventuali patologie sistemiche e terapie farmacologiche in corso per verificare che non ci siano controindicazioni. L'età anagrafica da sola non è un ostacolo.